Page 25 - Dental Technology 12-3
P. 25
24-26-Vita article-Q8_6-7-8-Ivoclar.qxd 10/6/2022 9:01 PM Page 2
cosmetic section 25
DENTAL TECHNOLOGY, JULY-SEPTEMBER 2022
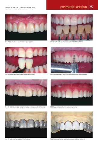
FIG 5: With the help of a wax-up, a direct mock-up was prepared. FIG 6: The tooth shade was determined using the VITA SYSTEM 3D-MASTER.
FIG 7: Images taken with a polarizing filter show the shade nuances. FIG 8: A controlled mock-up preparation allowed for a minimally invasive procedure.
FIG 9: The clinical situation after minimal tooth substance removal and with slight tapering. FIG 10: The provisional solution corresponded to the mock-up.
FIG 11: The master model with platinum foil on the stumps. FIG 12: The dentin section was layered with LUMINARY 1 (white) and DENTINE 1M1.

