Page 38 - DP Vol 21 No1_Neat
P. 38
PEDIATRICS
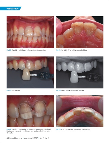
Fig 20: 11 and 21 – Labial view – after endodontic obturation Fig 21: 11 and 21 – After palatal access build-up
Fig 22: Shade match Fig 23: Monochrome assessment of shade
Fig 24: 11 and 21 – Preparation for veneers – retraction cords placed. Fig 25: 11, 21 – Incisal view post veneer preparation
Reattached fragments from 12 years ago can be well differentiated
clinically.
38 Dental Practice I March-April 2025 I Vol 21 No 2

